子宫肌瘤是妇女生殖道多发病,以良性肿瘤形式出现,多发生于30-50岁女性身上,给广大妇女带来了影响。子宫肌瘤大小对输卵管、子宫内膜等都有影响,严重时还会降低妇女受孕,给一些家庭带来阴影。
子宫肌瘤是否影响生育主要取决于子宫肌瘤的部位、大小以及数量。一般来说,粘膜下肌瘤会占据宫腔空间,影响受精卵着床,可能造成不孕不育;部分肌壁间肌瘤较大或靠近宫腔,或者肌瘤位于宫角压迫输卵管开口,可能对怀孕造成影响。即使成功怀孕,部分肌瘤在孕期也可能增长迅速,导致肌瘤变性、流产、早产等并发症。

传统的治疗方法如子宫肌瘤切除术,对有生育要求的患者来说还是会有较大影响,延长了生育计划,增加了妊娠风险。随着医学的不断发展,无创的治疗越发受到医生和患者的认可,对于有生育要求及不能忍受或不愿手术的子宫肌瘤患者来说,高强度聚焦超声治疗保留子宫的完整性,保护了患者的生育能力,体表无创无痕,满足患者对美丽外表的追求。
患者王女士,35岁,已婚未育,发现子宫肌瘤2年,备孕前复查彩超提示子宫肌瘤从以前的2cm增大到5cm,另外还新生长一枚4cm的肌瘤。此时王女士陷入了两难的境地,如怀孕,孕期肌瘤可能会因激素的影响而增大、变性或增加流产、产后出血等的风险;如果手术,则需2年后妊娠,术后子宫存在疤痕,临产后存在子宫破裂风险。

患者经多方查找资料后了解到广东省珠海市香洲区人民医院有高强度聚焦超声刀无创治疗技术,是子宫肌瘤的另外一种无创治疗方法。该技术可以不开刀,尤其适合像她这种近期有怀孕需求的高龄育龄期妇女,治疗效果好,恢复快,术后半年内可备孕。随即找到广东省珠海市香洲区人民医院妇科专家李燕玲主任和冷赛牡主治医师,顺利完成了子宫肌瘤高强度聚焦超声无创治疗。
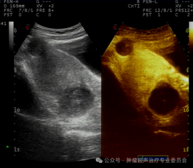
治疗前妇科彩超检查

子宫前壁见一个大小约44×27mm的低回声团;
后壁见一个大小约49×33mm的低回声团,6型。
经完善相关检查及评估后予行高强度聚焦超声治疗,治疗过程顺利,患者无任何不适。
HIFU治疗后即刻子宫造影

子宫前后壁肌瘤的消融面积均达80%以上
治疗后半年复查


子宫后壁肌瘤缩小至29*25mm,子宫前壁肌瘤
缩小至26*20mm。较治疗前缩小达40%。
经电话回访患者于治疗后7个月已经自然受孕,现孕19周,当地医院产检顺利,肌瘤稳定无增大。
高强度聚焦超声是子宫肌瘤微无创治疗新进展中的有效措施,在临床治疗中有很好效果,让子宫肌瘤患者在减少手术损伤的同时也保护了患者的生育能力,增加了患者生活健康指数。尤其是短期内有生育计划的肌瘤患者可经妇科专家评估选择。
广东省珠海市香洲区人民医院妇科自2022年11月引进此项技术后,至目前已经完成600余人次的治疗,其中包括:子宫肌瘤、子宫腺肌病、胎盘植入、剖宫产疤痕部位妊娠,治疗有效率95%以上,其中胎盘植入的治疗有效率达100%。
供稿:广东省珠海市香洲区人民医院妇科 李燕玲/冷赛牡
注.图文来自网络,如有侵权请联,意昂4 将及时更正、删除。
31011502403007